
Yasmila
ID: 5210
Países: Venezuela
Situación Económica: 0
Trabajo Actual:
Estudios: Magister en Gerencia
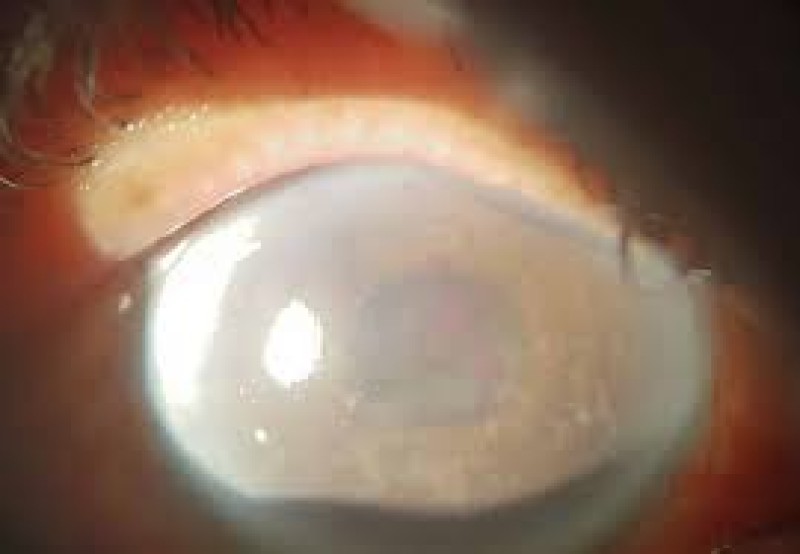
Hola Mi nombre es Yasmila, Soy Venezolana, mi profesión es Docente, pero por problemas de salud no pude continuar con mis funciones de Sub-Directora de un colegio publico y fui presionada por superiores a que renunciara, esto por varias razones entre ellas que no soy afecto al gobierno y la presión era para que renunciara y colocar ellos a una persona que si les convenía para seguir en la linea de sus conveniencias. En la actualidad no tengo empleo y sufro de Catarata en el ojo derecho y necesito un trasplante de Cornea para el ojo izquierdo, debido a la crisis de salud que se vive en el país es imposible que pueda ser intervenida en un centro medico publico, porque no tienen insumos médicos y hacérmela y en una clínica privada es muy costosa y no tengo los recursos económicos, Me gustaría recibir la ayuda para realizarme la operación y retomar mi vida y ejercer mi profesión porque mi desenvolvimiento diario es muy limitado.