
Miguel
ID: 13829
Países: Colombia
Situación Económica: 2
Trabajo Actual: Incapacidad médica
Estudios: Bachillerato
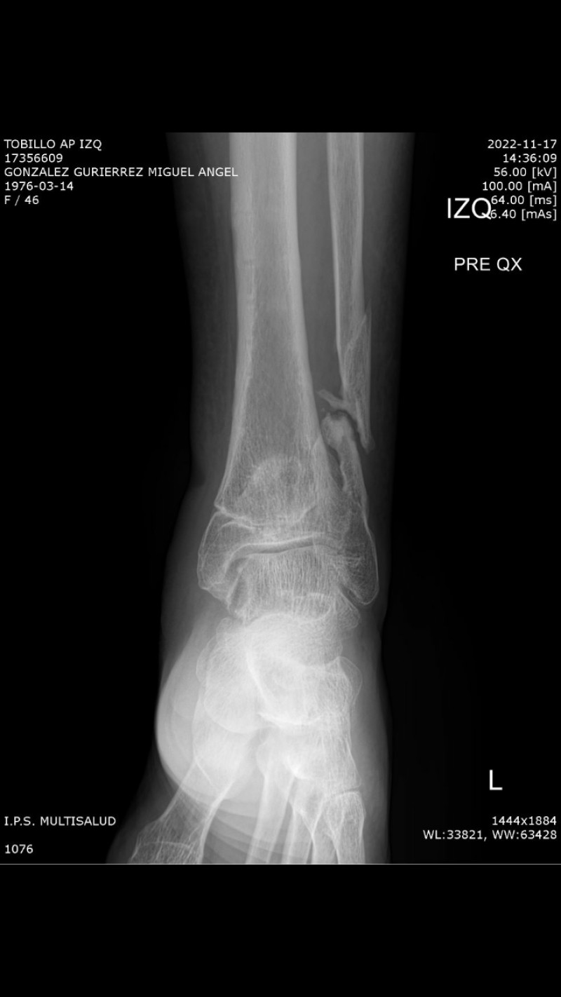
My name is Miguel González, I am 46 years old, I live in the city of Villavicencio Colombia. On November 19, 2020, I was hit from behind by a group of motorcyclists while I was going to receive a shift at my workplace. Since then my life has taken a 180 degree turn, I fractured my tibia and fibula bones, I have already had 2 surgeries, I have had bacteria in my bone, I have thyroid problems, I have not been able to return to work, I have 2 children and I am separated. I have needed psychological support. I have the 3rd leg surgery scheduled for February 25 at the La Sabana clinic in Bogotá to do grafting and reconstruction to try to have a better quality of life and recover the functionality of my foot even though I already have a 23% functional disability. I tell my story because I am looking for help/support to be able to pay for the expenses that the transfer and surgery will generate in the city of Bogotá, transportation, food, accommodation because I have to travel a day before and for what is required in the clinic and therapies. My sister always accompanies me to medical appointments and I need her for surgery since I cannot attend without a companion. If anyone can help me, I thank you with my heart, God bless you. Mi nombre es Miguel González, tengo 46 años, vivo en la ciudad de Villavicencio Colombia. El 19 de noviembre de 2020 fui arrollado por detrás por un grupo de motoristas mientras me dirigía a recibir turno en mi puesto de trabajo. Desde ese entonces mi vida ha dado un giro de 180 grados, tuve fractura de huesos tibia y peroné, ya me han realizado 2 cirugías, he tenido una bacteria en el hueso, tengo problemas en la tiroides, no he podido volver a trabajar, tengo 2 hijos y estoy separado. He necesitado apoyo psicológico. Tengo programada la 3 cirugía en la pierna para el 25 de febrero en la clínica La Sabana en Bogotá para hacer ingerto y reconstrucción para intentar tener mejor calidad de vida y recuperar la funcionalidad de mi pie aunque ya tengo un 23% de discapacidad funcional. Cuento mi historia porque busco ayuda/apoyo para poder costear los gastos que generará el traslado y la cirugía en la ciudad de Bogotá, transportes, alimentación, alojamiento porque debo viajar un día antes y para lo que me requieran en la clínica y las terapias. Mi hermana siempre me acompaña a las citas médicas y para la cirugía la necesito ya que no puedo asistir sin un acompañante. Si alguna persona puede ayudarme, le agradezco con el corazón, Dios los bendiga.